FAQs of Cerec Crowns
Posted June 28, 2022 by Anusha ‐ 4 min read
CEREC technology is the advanced and very precise technique for manufacturing dental crowns which are aesthetic, biocompatible, and functionally durable in nature. In this blog we will deal with various questions related to the cerec technology and single visit crowns.
Is it possible to get a crown done in a single day?
Yes, it is possible to get a crown in a single visit itself. For this, your dentist takes an intraoral scan of the teeth to be treated with the help of an intraoral scanner and sends this 3D impression of the tooth to the CEREC machine. In the CEREC machine, the design for the crown is created and after proper evaluation, this design is milled and sintered at the office itself to create the crown.
What is CEREC Crown?
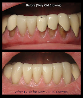
CEREC stands for the chairside economical restoration of esthetic ceramics (CEREC). The method utilizes Cad/Cam Technology (Computer-Aided Design/ Computer-Aided Manufacturing) to create a crown that perfectly fits to the damaged tooth as it maintains all the anatomical and functional aspects necessary for the crown. CEREC crowns are milled or manufactured from ceramic blocks which give a perfect natural look to the crowns. All this process can be completed in a single visit along with crown fixing hence, they are also known as single-visit crowns. CEREC crowns are a great advancement in the field of dentistry.

How single visit crowns are better than the traditional crowns?
Traditional crowns are made of metal and ceramic material. Due to the releases of metal oxides into the gingiva the color of the gingiva turns black in long run but this problem is not present in CEREC crowns as they don’t contain any metal. Metal Ceramic crowns are prone to ceramic layer chip off due to excessive masticatory forces or other reasons but as the CEREC crowns are made from monolithic blocks there is no problem of chipping. CEREC crowns can bear high occlusal forces also as compared to the other crowns. CEREC crowns are highly aesthetic than traditional crowns. They even possess the property of translucency.
What are the benefits of single visit crowns?
Restores function- A broken tooth affects your smile, appearance, speech patterns, and eating habits. With single-day crowns, you can restore your chewing and speaking functions more accurately and fastly even within a few hours. Promotes Comfort- The precise Cad/Cam technology allows dentists to design a restoration that fits accurately and comfortably with no discomfort during taking impressions and nor during crown fixing. Saves Money- Patient saves money because they don’t have to pay for an extra appointment and temporary crowns as they have to do in the case of traditional crowns. Saves Time- Both dentist and patient time is saved with CEREC crowns because there is no need for sending the impressions to other labs and waiting for the trials etc. And patients appointments are also reduced making them comfortable by saving their precious time.

How long CEREC crowns last for?
CEREC crowns are very precise and natural-looking crowns, despite these properties they are even stronger to withstand the high occlusal forces. They can typically last for anywhere between 10 to 15 years and even for a lifetime also which depends on the maintenance of the patient. Maintaining good oral hygiene along with proper mastication or grinding forces can help to prolong the life of the crown.
Can a tooth get infected under the crown?
There are many ways which can damage the teeth underlying the crown
Placing toothpicks and pins may also lead to gum damage and food lodgement which can lead to secondary infections.
You may damage the teeth by clenching or grinding in the wrong manner or bitting suddenly on some hard foods.
Ill-fitting or loose crowns can also trigger throbbing pain because this happens due to the presence of bacteria under the crown which was attracted by the food lodged under the loose crown giving it a chance for inducing secondary infections.

CEREC Milling
How long has CEREC technology been around?
CEREC is a brand name and the technology is called as CAD?CAM. Cad/Cam dentistry has been in use since the mid-1980s. Early efforts were considered a cumbersome novelty, requiring an inordinate amount of time to produce a viable product. This inefficiency prevented its use within dental offices and limited it to lab side use. As adjunctive techniques, software and materials improved the chairside use of Cad/Cam increased.